A new compound, Lecanemab, may hold promise for sufferers of Alzheimer’s Disease.

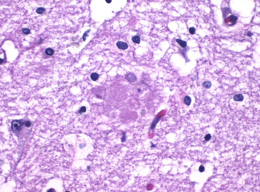
Amyloid plaque in Alzheimer's disease

In 2021 the drug Aducanumab became the first new treatment for Alzheimer’s Disease (AD) to be approved by the US Food and Drug Administration (FDA) in 20 years. But it was surrounded by serious questions over the design, analysis, efficacy and safety of the underlying trials, as well as the conduct of the FDA itself (see New Humanist Autumn 2021).

Like many drugs in the pipeline, Aducanumab targets build-ups of the beta-amyloid protein, known as “plaque”, in the brain. The hypothesis is that this plaque collects between neurons and disrupts their normal function, playing a causal role in the development of AD. Whilst the theory has been the basis of decades of research, scientists remain divided over its validity. The controversy surrounding Aducanumab’s approval did little to settle the debate.

Then, in late 2022, a clinical trial reported significant results in targeting the “brain plaque” so central to this hypothesis. A new compound, Lecanemab, was again approved under an accelerated procedure by the FDA. However, the results of the trial, published in the New England Journal of Medicine, have largely been received with greater hope and confidence than the Aducanumab debacle. They appear to provide evidence for the first time of both significant reductions in plaque and, crucially, a slowing in the rate of decline in cognition by 27 per cent.

We are yet to find out who might benefit. Treatment with the drug requires two weekly transfusions and will cost over $25,000 per patient per year in the US. In the UK, medical regulators are yet to announce their timeline for considering Lecanemab (they never gave the green light to Aducanumab).

Excitement has also been muted among researchers due to concerns over adverse events. The drug has only been trialled, so far, in early-stage AD patients and some experts say it’s unlikely to help those who are further down the line. However, there is still cause for optimism. If Lecanemab is approved, it would be the first time a drug is made available to AD sufferers that targets the cause of the disease, rather than the symptoms.

This article is a preview from our New Humanist spring 2023 edition. Subscribe here.